脳検査始末記(後編)
H.12.6.13

 皆さん、今晩は。
今日は、待望のMRI検査結果の説明がある日です。予約時間の11時半少し前に脳神経外科の診察室に着きましたが、すごい人。今日は、火曜日で空いていると思っていましたが、この病院の脳神経外科は有名で結構遠くから受診に来ている人が多く、相変わらずの大盛況。3つの診察室がフル回転していましたが、私の順番は12時少し過ぎになってしまいました。
 呼び込まれて診察室に入ると、Dr.Kは、まあどうぞと言うように私に椅子をすすめ、正面のパネルにMRIのフイルムを4枚貼り付けました。1枚のフイルムに約20コマ位の頭部の輪切り写真が写っていました。1枚は横から、2枚は上から、1枚は血管を写したものでした。
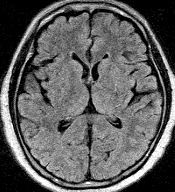
左の写真は正常な人の頭部MRI写真の1コマを3種類見本に貼り付けたもので、私の脳みその写真ではありません。
私は、本やテレビでよく見る、この正常な人の写真を頭に描きながら目の前にある自分の写真を詳細に観察しました。私の脳みそは、元気でした。頭蓋骨の中が狭すぎると言わんばかりにぎっしりと詰まっていました。
「まったく異常ありませんね。」
と穏やかな話口でDr.Kは、説明を始めました。
眼の異常も、脳が原因で起こる場合は、両眼一緒に起こることは無く、私に起きた現象は、おそらく心臓が原因でしょうとのこと。また、頭痛や頭がすっきりしないという問題は、筋肉系に問題があり、疲れやストレスが考えられますとのことでした。
ただ一つ、気になったのは、上から写した写真の中に、ポツッリ針で突いたような白い点のある1コマの写真が有ったことでした。Drが全く異常は無いと言うのだから聞くのは止めました。と言うのは、数週間前のテレビで、若い(30代と思われる)女性アナが脳 ドックの体験受診をした番組がありました。その時にも、私と同じような白点が1つ写っていて、これは、脳血栓の跡で、30歳過ぎれば症状の出ないこうした血栓痕の一つや二つはあるとの説明をしていました。私は、後数ヶ月で64歳、一つくらい血栓の跡があっても当然と気楽に納得してしまいました。
「血管の方の写真も撮っておきました。静脈瘤も動脈瘤もありません。」
こちらも正常。
「では、蜘蛛膜下出血の心配はありませんね。」
と聞くと、
「絶対と言う事は言えませんが、可能性は少ないですね。」
とのこと。
右の写真は、これも借り物で私の写真では有りませんが、頭の中の血管ってすごいですね。私の写真は、この写真よりもう少し血管が太く、梅の古木の盆栽のようなイメージを感じましたが、写真の撮り方によるのかも知れません。
それにしても、一安心です。私のコンピュータは、マザーボードもCPUも目下健全。OSやアプリケーションに異常が有れば再インストール可です。
ここ半年くらいの間に、眼、耳の検査、そして今日脳の検査、全て異常なし。しかし、私の弱点は目下治療中の心臓と血圧。眼の異常源は心臓から来ているのではとのことでしたから・・・。マザーボードやCPUの故障も困りますが、心臓も待ったなし。今飲んでいる薬は死ぬまで飲まなければいけないそうですから、一生付き合って行くより仕方ないのでしょうね。


それでは又!!!


近況報告目次へ